
Publicado na Neuroimage: Clinical, estudo do IDOR revela novos achados sobre a Disgenesia do Corpo Caloso, uma malformação cerebral
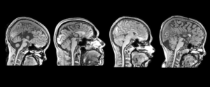
Um estudo realizado por pesquisadores do Instituto D’Or de Pesquisa e Ensino (IDOR), em parceria com a Universidade Federal do Rio de Janeiro, trouxe novas descobertas sobre o funcionamento cerebral de indivíduos com disgenesia do corpo caloso (DCC), uma desordem do neurodesenvolvimento caracterizada pela ausência (total ou parcial) do corpo caloso (CC), que é a principal via de comunicação dos hemisférios cerebrais. A pesquisa foi publicada na revista Neuroimage: Clinical, periódico dedicado à divulgação de descobertas acerca de síndromes e doenças que envolvem o Sistema Nervoso.
Segundo o estudo, a apresentação clínica da DCC é bastante variada: existem desde indivíduos assintomáticos, até aqueles com atraso no desenvolvimento cognitivo, psicomotor, dificuldades na interação social, entre outros. É surpreendente perceber, no entanto, que esta condição não é acompanhada da clássica síndrome de desconexão inter-hemisférica, geralmente presente em adultos submetidos à secção cirúrgica do CC para tratar epilepsias que não respondem ao tratamento com medicamentos.
Um sintoma clássico da síndrome de desconexão inter-hemisférica e que foi avaliado ao longo da pesquisa é a anomia tátil unilateral esquerda; ou seja, o comprometimento na nomeação de objetos inspecionados com a mão esquerda fora do alcance de visão. A secção cirúrgica do corpo caloso impossibilita que a informação tátil proveniente da mão esquerda, e que é processada pelo hemisfério direito, seja transferida para hemisfério esquerdo, responsável pela fala na maior parte da população. Os indivíduos com ausência congênita total ou parcial do CC que participaram da pesquisa no IDOR foram submetidos à tal tarefa de reconhecimento tátil e nomeação de objetos e foram capazes de executar tais testes com sucesso, de forma equivalente a um grupo de participantes sem alterações cerebrais.
O aparente paradoxo que é a ausência de sintomas de desconexão inter-hemisférica na DCC motiva os pesquisadores a investigar como o sistema nervoso se reorganiza nesta condição, já que o desempenho destes indivíduos em tarefas neuropsicológicas que demandam a comunicação entre os dois hemisférios é preservado.
Tal capacidade dinâmica de reestruturação morfológica e funcional do sistema nervoso frente a influências ambientais e sistêmicas, como as induzidas por processos que variam desde aprendizagem a traumatismos cranioencefálicos e malformações, é conhecida como “neuroplasticidade” e constitui um dos campos de investigação mais desafiadores das Neurociências.
A literatura científica propõe alguns mecanismos de neuroplasticidade nos casos de DCC, como os feixes alternativos de substância branca que atualmente são investigados por meio de técnicas modernas de ressonância magnética no IDOR.
A ausência congênita do CC também poderia diminuir as assimetrias funcionais entre os hemisférios, dando lugar a representações corticais mais simétricas das funções cognitivas, como a linguagem, práxis, ou das capacidades sensório-motoras. Para tal, foi investigada, pela primeira vez na pesquisa em questão, a lateralização somestésica mediante a estimulação exteroceptiva da palma da mão em indivíduos com DCC. Logo abaixo, explicamos como se deu esse procedimento.
Os pesquisadores reuniram um grupo de 12 participantes: um grupo com 6 indivíduos sem alterações cerebrais e outro grupo com 6 indivíduos com DCC. Os participantes foram submetidos a um exame de ressonância magnética funcional para investigar quais regiões cerebrais estão encarregadas do processamento somestésico na DCC. Durante blocos de estimulação, um estímulo tátil cutâneo indolor foi aplicado com uma escova macia na palma da mão dos voluntários.
Como um grupo, os pacientes com DCC apresentaram um padrão exclusivamente contralateral de ativação das regiões somestésicas durante a estimulação de cada mão separadamente. Uma estratégia de compensação na DCC seria a bilateralização da representação tátil. Os resultados da pesquisa, no entanto, não deram suporte a esta hipótese.
Apesar da ausência de uma representação bilateral das mãos em discalosos, este mesmo grupo de pacientes apresentou um desempenho equiparado aos controles em tarefas que exigem transferência inter-hemisférica, como em tarefas de nomeação táteis e visuotáteis. A literatura mostra também que acalosos, em contraste com pacientes calosotomizados, podem julgar se dois objetos colocados simultaneamente em cada mão são iguais ou diferentes. Esta tarefa também requer a integração da informação somatossensorial e acredita-se que reflita a transmissão via CC, embora os resultados mostrem que a representação somatossensorial das mãos na DCC seja restrita ao córtex contralateral.
Os achados são compatíveis com a interpretação de que o sistema nervoso na DCC, ao menos no que se refere a representação somestésica da mão, deve criar outras estratégias de reorganização, como por meio dos feixes alternativos de substância branca, alguns já descritos por pesquisadores do grupo. Os feixes mesencefálico e prosencefálico ventral, por exemplo, conectam os córtices parietais, especialmente a área relacionada ao reconhecimento tátil de objetos, o que pode estar relacionado ao bom desempenho em tarefas de nomeação e reconhecimento tátil na ausência do CC.
Esta é a primeira pesquisa que investigou a representação e lateralidade de informações somestésicas das mãos na DCC, e seus resultados poderão melhorar a compreensão dos mecanismos subjacentes ao processamento cortical nesta condição que se configura como um modelo natural de neuroplasticidade, abrindo caminhos um melhor desenvolvimento de alternativas de tratamento.
Escrito por Maria Eduarda Ledo de Abreu.